¿Por qué debe aumentar el cuidado de los dientes en verano?
- julio 31st, 2017
- 0
- praxisdental
- Archivado en:
- Prevención infantil
- Salud dental
El verano es una época en la que, debido a diferentes motivos, sus dientes están expuestos a riesgos para la salud de los mismos.
Esta es una época del año en la que debemos aumentar el cuidado de los más pequeños, ya que están expuestos a diferentes riesgos que hacen que puedan dañar sus dientes y el resto de su boca, aunque algunos de ellos nos pueden llegar a parecer increíbles.
Riesgos más comunes en verano para sus dientes
En verano acudimos mucho a la piscina con los más pequeños, pero lo que probablemente no sabías hasta ahora es que el cloro, el cual se usa para mantener limpias las piscinas, puede llegar a provocar manchas en sus dientes, así que lo mejor es que no le dejes demasiado tiempo dentro del agua, ya que podría tener estas consecuencias.
Además, es una época en la que, como no tienen vacaciones en el colegio, disponen de mucho más tiempo libre para practicar deportes, o simplemente estar en la calle, por lo que aumentan en gran medida el número de caídas, y en algunas ocasiones, con ellas las roturas o pérdidas de alguna pieza dental.
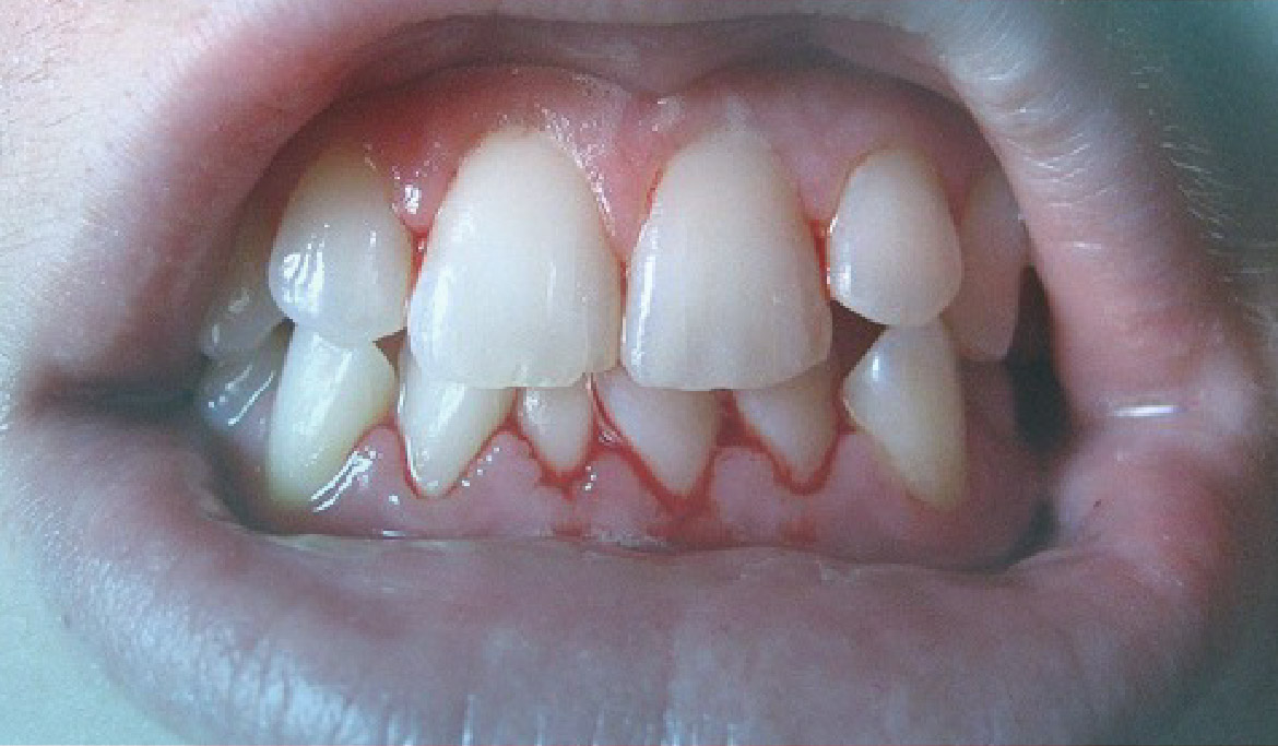
Por otro lado es importante que se hidraten bien, pero con agua, ya que los refrescos y bebidas azucaradas, junto con el aumento de temperaturas, hacen que se proliferen muchas más bacterias las cuales pueden llegar a provocar llagas, o incluso otros problemas como caries y gingivitis. Una buena idea, si finalmente va a tomar este tipo de bebidas, es que lo haga con pajita, para así reducir el contacto de sus dientes con este tipo de bebidas.
A su vez, con el aumento de tiempo libre, es muy normal que en algunos casos lleguen a descuidar su higiene dental, sobre todo si les llevas a campamentos o los dejas con algun familiar durante una temporada, por lo que lo más razonable es que avises, o bien a los monitores o a nuestros familiares, de que estén pendientes del cepillado de sus dientes y tengan una buena higiene dental durante sus vacaciones.
Asimismo, el aumento de ingesta de helados y bebídas frías también puede ocasionar sensibilidad en sus dientes, e incluso dolores de cabeza, por lo que será muy importante controlar la ingesta de los mismos si no quieres que el problema se agrave dentro de su boca.
Igualmente, el calor puede provocar que su boca se seque con frecuencia, por lo que es importante que tengan una buena hidratación, para evitar que se acumulen bacterias dentro de su boca y esto le genere problemas bucodentales mucho más serios.
ntes Chico: 0 ppm
